• מיום ראשון עד יום שישי משעה 09:00 עד שעה 19:00.
  • צור קשר עכשיו: 050-4756-438
מאמרים

מאמרים מאת ד"ר איאד נאסר

כאן תוכלו לקרוא על הטכנולוגיות החדשניות, הטיפולים המובילים, וטיפים חשובים למראה ולבריאות שלכם.

img

מהו כתר בשיניים? מדריך מפורט על סוגי כתרים והשימושים שלהם

כתר הוא השחזור הסופי אשר עוטף , משלים או מכסה את כותרת השן המוקטנת ומביא אותה לצורה האסתטית והפונקציונלית של השן המקורית

img

יתר לחץ דם: ההשפעה על טיפולי שיניים ואמצעי זהירות

יתר לחץ דם (Hypertension) הוא מצב רפואי נפוץ המוכר בכינויו "הרוצח השקט" (The Silent Killer) בשל השפעותיו על מערכות רבות בגוף והסיכונים הבריאותיים הכרוכים בו. עבור רופאי שיניים, זיהוי וטיפול נכון בפציינטים הסובלים מיתר לחץ דם הם קריטיים לצורך בטיחותם במהלך טיפולים.

img

ריח רע מהפה: גורמים, פתרונות, וטיפול מותאם

ריח רע מהפה, המכונה בלועזית Halitosis או Bad Breath, הוא אחת התלונות השכיחות במרפאות שיניים. למרות שמטופלים רבים מקפידים על צחצוח שיניים לפחות פעמיים ביום ומשתמשים במגוון תכשירים להיגיינה אורלית, הריח הלא נעים לא תמיד נעלם.

img

הלבנת שיניים

או ליתר דיוק הבהרת שיניים, מהווה חלק בלתי נפרד מעולם האסתטיקה הדנטלית. אנשים רבים מבקשים להשיג חיוך זוהר ובהיר שמשדר בריאות ואסתטיקה. מדובר בפרוצדורה שיכולה להתבצע במרפאה או בבית, תוך שימוש במגוון רחב של טכניקות וחומרים.

img

ד”ר איאד נאסר מסביר כל מה שתרצו לדעת על שיקום פה ולסת

פה ולסת בריאים נראים כאשר שיניים נסגרות בצורה תקינה, אין בשיניים חורים או שחיקה ואיך שיניים חסרות. כל האלמנטים הללו מביאים לחניכיים בריאות. אם זהו לא המצב, יש לבצע שיקום פה ולסת שמטרתו הוא לטפל בבעיות השונות בחלל הפה והלסת. טיפול זה צריך לכלול השתלת שיניים, יישור שיניים ואף הלבנה במידת הצורך.

img

דר איאד נאסר מדבר על שן בינה כלואה

שן בינה היא למעשה השן הטוחנת השלישית. לעיתים, נוצרת סיטואציה שבה אין להרבה אנשים מקום לבקיעה נוחה של שיני הבינה. לכן כאשר אותה שן בינה בוקעת היא חלק בלתי נפרד מלעיסה תקינה וחשוב לשמור עליה כמה שאפשר. 

img

בריאות שיניים לילדים ותינוקות: מדריך להורים

שמירה על בריאות השיניים אצל ילדים ותינוקות היא מחייבת וזאת על מנת שתוכלו להבטיח את בריאותם הכללית וגם כדי לסייע במניעת בעיות שיניים עתידיות. ד"ר איאד נאסר ממליץ על מספר צעדים משמעתיים לשמירה על בריאות השיניים של ילדים ותינוקות שיכולים גם להוות לבסיס בריא לבריאותם הכללית.

img

אבצס דנטלי: כל מה שצריך לדעת על הגורמים, התסמינים והטיפולים

מורסה בשן, המכונה גם אבצס דנטלי היא זיהום כואב המתרחש בפה, המשפיע על השן והרקמות הסובבות אותה. כשהיא לא מטופלת, אבצס דנטלי עלול לגרום לסיבוכים חמורים, להשפיע לרעה על בריאות הפה ובכלל על הבריאות הכללית. ד"ר איאד נאסר יספר במאמר את הסיבות, התסמינים ואפשרויות הטיפול למורסה בשיניים, ויספק מידע חשוב ומשמעותי לשמירה על בריאות שיניים מיטבית.

img

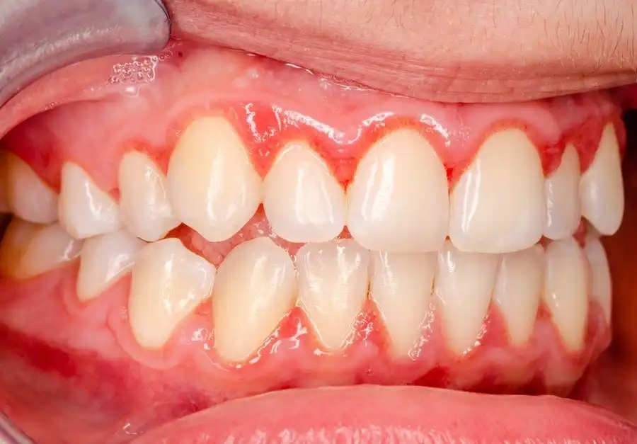
דלקת חניכיים: תסמינים, גורמים ודרכי טיפול

דלקת חניכיים היא מצב דלקתי כרוני המשפיע על הרקמות הסובבות את השן, המורכבות מרקמת החניכיים, העצם והרצועות התומכות בשיניים. בעיה נפוצה זו בבריאות הפה עלולה להוביל לאובדן שיניים ולהשפיע לרעה על הבריאות הכללית אם לא מטפלים בכך בזמן. הבנת התסמינים, הסיבות והטיפולים הזמינים לדלקת חניכיים חיונית לשמירה על בריאות הפה. ד"ר איאד נאסר יסביר במאמר זה על התסמינים ודרכי הטיפול המתאימים.

👋🏼 צור קשר לפרטים